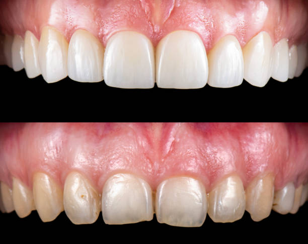
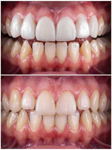
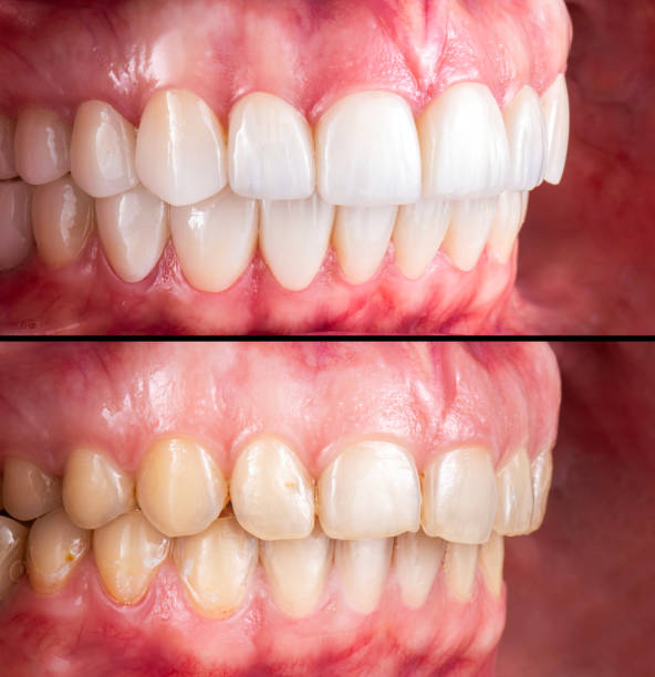
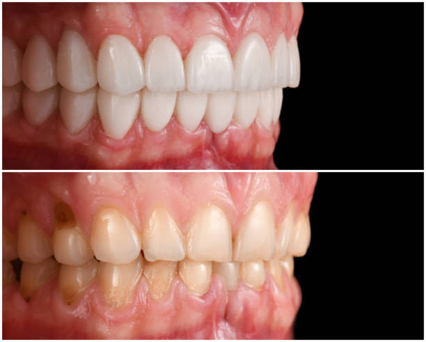
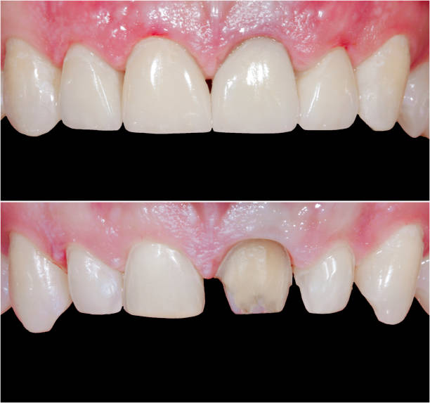
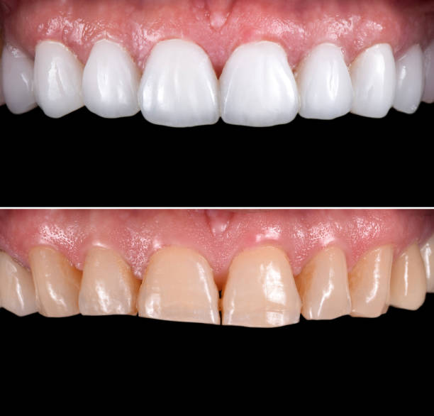
Antes y Despúes
Algunos de nuestros casos clínicos
Tipos de carillas dentales
En VM Dent Clínica Dental Ñuñoa utilizamos 2 tipos de sistemas: Carillas de porcelana y Carillas de resina compuesta (o composite). Son reconocidos como los sistemas más superiores disponibles en odontología estética.


