Puente dental
¿Qué son los puentes dentales de porcelana y cómo funcionan?
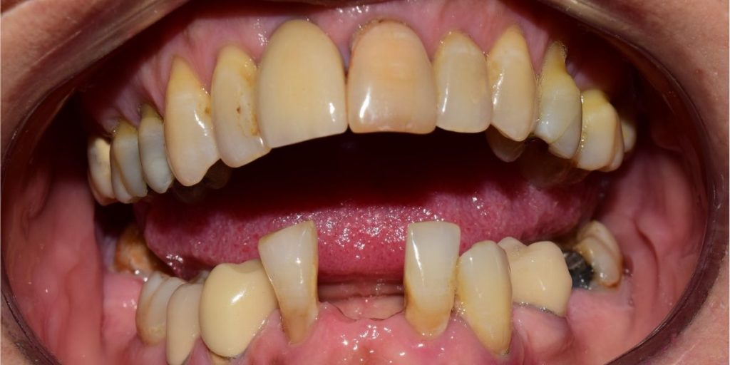
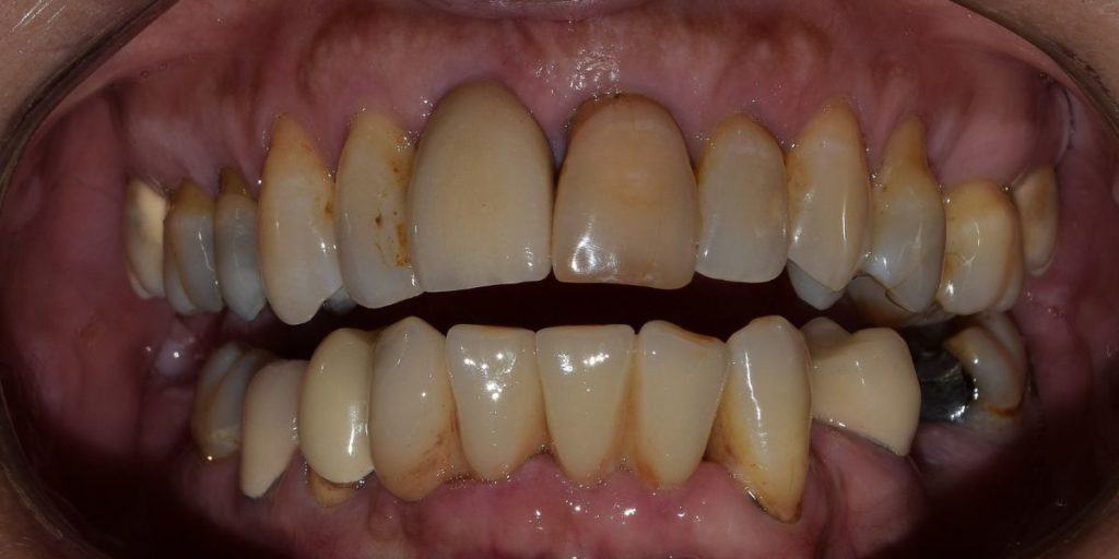
Un puente dental es una solución fija que utilizo para reemplazar uno o más dientes perdidos, devolviendo la función masticatoria, la estética y la estabilidad a tu sonrisa. Consiste en una estructura que se apoya sobre dientes naturales vecinos o implantes, y sostiene las piezas dentales artificiales que ocupan el espacio perdido.
Si por alguna razón ha perdido una o varias piezas que han dado por resultado un espacio entre los dientes, es probable que sea candidato para un puente. Sus otras opciones son el reemplazo con implantes dentales o prótesis parciales removibles. Siendo los implantes la primera opción a los puentes y/o prótesis removibles. Cuando programe una consulta con nosotros, revisaremos cada una de estas opciones para averiguar cuál es el mejor tratamiento para usted.
Existen dos tipos principales:
- Puente tradicional: se apoya en los dientes naturales contiguos, que deben estar sanos y ser preparados para recibir coronas.
- Puente sobre implante: ideal cuando no se desea desgastar dientes vecinos o cuando ya no hay dientes naturales de soporte. Se instala sobre uno o más implantes dentales, ofreciendo mayor estabilidad y durabilidad.
En VM Dent Clínica Dental Ñuñoa, evalúo cada caso de forma personalizada y con apoyo de tecnología 3D para diseñar un puente cómodo, funcional y estéticamente armonioso.
Las ventajas de un puente son muchas:
- ¡Se ven realmente muy bien!
- ¡Se sienten y funcionan como dientes naturales!
- Los puentes de porcelana no tienen esa fea línea gris antiestética en la encía que se ve con los puentes de metal.
- Su puente de porcelana durará muchos años, siempre y cuando cuide sus dientes adecuadamente.
- Pueden utilizarse sobre implantes dentales.
- Todos los dientes en el puente están conectados, por lo que el uso de hilo dental es más dificultoso.
- Si un diente en el puente tiene un problema, se debe reemplazar todo el puente.
- Debido a que los puentes de porcelana involucran múltiples dientes, generalmente cuestan varias veces más que una corona de un solo diente.




